Apocrine hidrocystoma =الكيسوم العرقي المفترز

Apocrine hidrocystoma

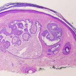
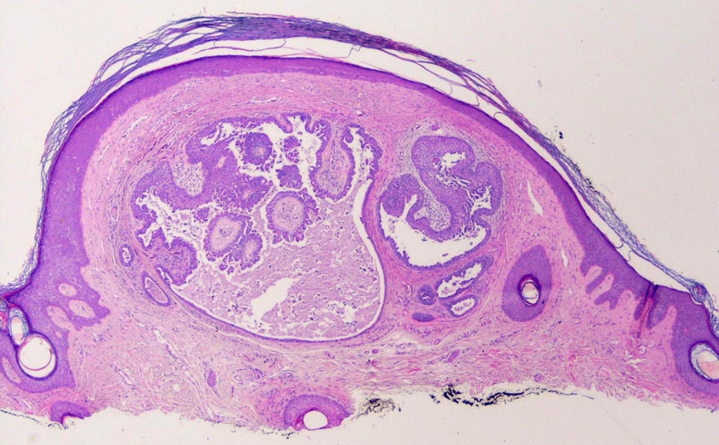
The clinical appearance of a pea-sized cyst near the inner canthus of the eye, which contains a thin clear or pigmented fluid, suggests an apocrine hidrocystoma; however, histologic examination often is required to establish a specific and definitive diagnosis. Upon histologic examination, apocrine hidrocystomas show large unilocular or multilocular cystic spaces within the dermis (see the image below). Apocrine hidrocystomas are more likely to be multilocular than the closely related eccrine hidrocystoma

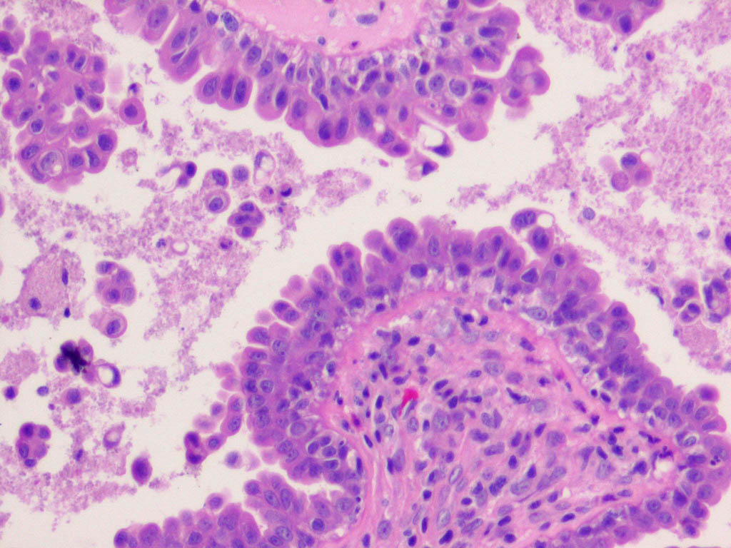
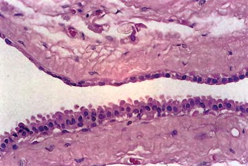
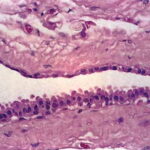
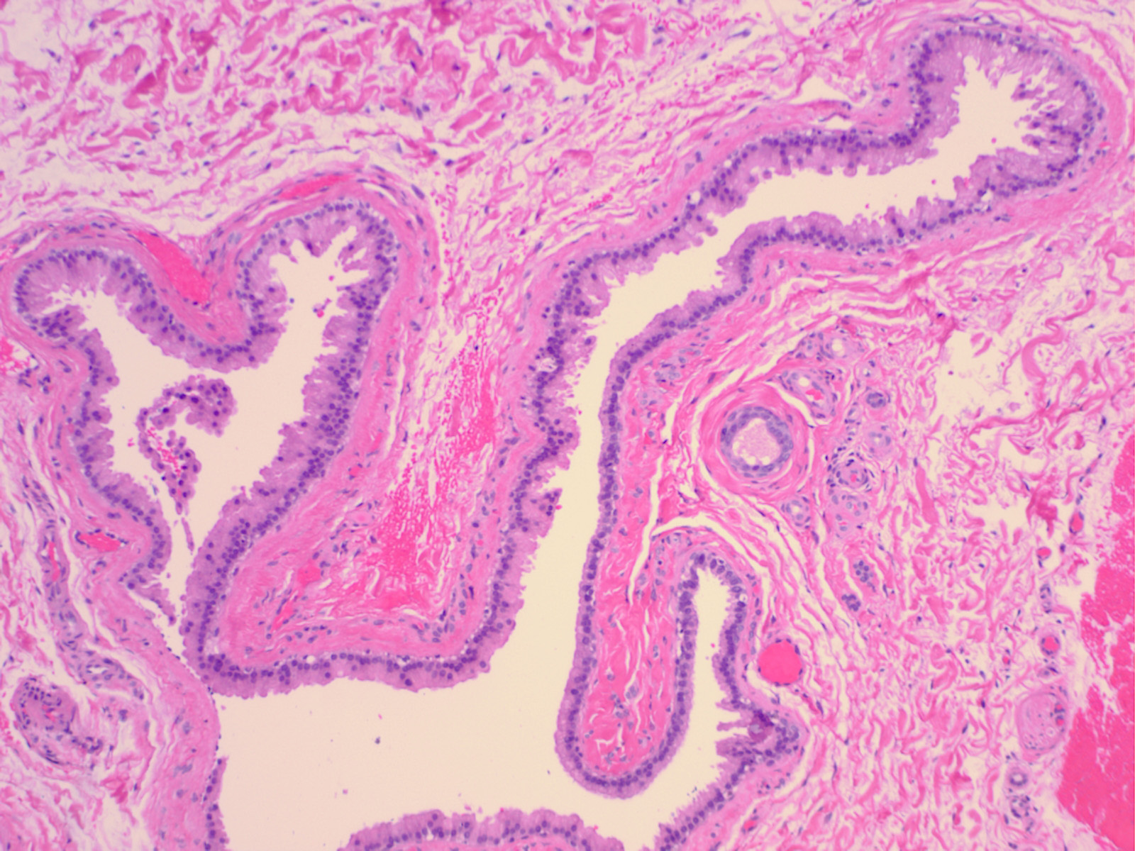
The cyst wall is lined by apocrine-type secretory epithelium. The innermost layer of the wall is composed of a single (occasionally double) layer of cuboidal-to columnar-shaped cells. The nuclei of these cells are positioned basally. The outer layer of cells composing the cyst wall is formed by myoepithelial cells in which the long axes run parallel to the cyst wall.

Well-organized fibrous tissue surrounds the cyst. Papillary projections extend from the secretory layer into the cyst cavity, depicting decapitation secretion. The secretory cells contain periodic acid-Schiff–positive, diastase-resistant granules and occasionally contain pigment granules, which provide the brown color of the cystic fluid. This pigment is neither melanin nor hemosiderin. On electron microscopy, secretory cells have numerous, dense, lysosomal-type secretory granules typical of apocrine gland cells. They also have an increased number of annulate lamellae, which are unusual in normal apocrine cells.

error: Content is protected !!