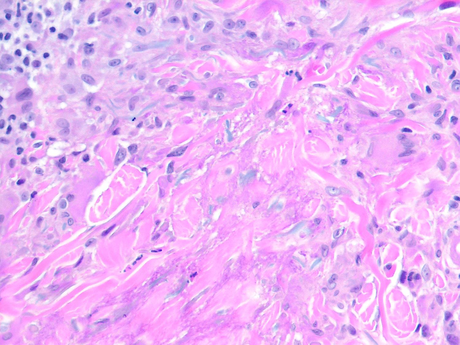
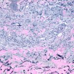
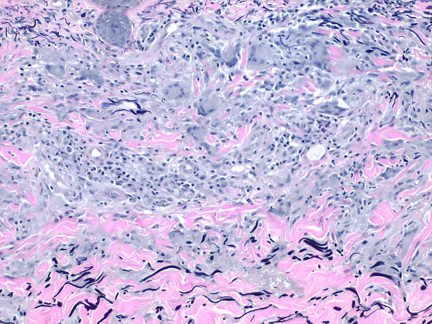
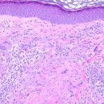
Annular elastic granuloma =الورم الحبيبي الحلقي المرن

error: Content is protected !!