Anetoderma =ضمور الجلد البقعي

▪ ANETODERMA

 

History

Epidemiology

 

The lesions in anetoderma usually occur in young adults between the age of 15 and 30 years of age and more frequently in women than men. Anetoderma is rare, but the incidence is unknown. Anetoderma has been reported in several hundred cases since the original report.

 

Pathogenesis

 

The pathogenesis of anetoderma is unknown. The key defect is damage to the dermal elastic fibers. Anetoderma might be considered to be unusual scars, because scars also have decreased elastic tissue. The loss of dermal elastin could be the result of an impaired turnover of elastin caused by either increased destruction or decreased synthesis of elastic fibers.

 

Clinical Findings

 

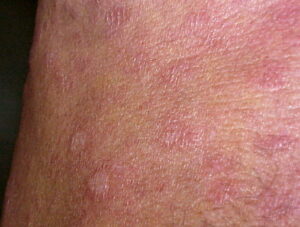
All types of anetoderma are characterized by a circumscribed loss of normal skin elasticity. The characteristic lesions are flaccid circumscribed areas of slack skin with the impression of loss of dermal substance forming depressions, wrinkling, or sac-like protrusions . These atrophic, skin-colored, or blue-white lesions are 5 to 30 mm in diameter. The number varies from a few to hundreds. The skin surface can be wrinkled, thinned, and often depigmented, and a central depression may be seen. Coalescence of smaller lesions can give rise to larger herniations. The examining finger sinks without resistance into a distinct pit with sharp borders as if into a hernia ring (buttonhole sign). The protrusion reappears as soon as the pressure from the finger is removed.

The most common sites for these asymptomatic lesions are the chest, back, neck, and upper extremities. They usually develop in young adults, and new lesions often continue to form for many years as the older lesions fail to resolve.

Primary anetoderma occurs when there is no underlying associated skin disease (i.e., it arises on clinically normal skin). It is historically subdivided into two types: (1) those with preceding inflammatory lesions, mainly erythema (the Jadassohn-Pellizzari type), and (2) those without preceding inflammatory lesions (the Schweninger-Buzzi type). This classification is only of historical interest, because the two types of lesions can co-exist in the same patient; the prognosis and the histopathology are also the same.

 

ANETODERMA AT A GLANCE

 

  • Circumscribed 1- to 2-cm areas of flaccid skin that may be elevated, macular, or depressed.
  • Often circumscribed sac-like protrusions.
  • Primary or secondary to a preceding dermatosis in the same location.
  • Pathology consists of loss of elastic tissue in the dermis.

True secondary anetoderma implies that the characteristic atrophic lesion has appeared in the exact same site as a previous specific pathology; the most common causes are probably acne and varicella. Numerous and heterogeneous dermatoses have been associated with secondary anetoderma, namely syphilis, Lyme disease, molluscum contagiosum, pilomatricomas, juvenile xanthogranuloma, xanthomas, granuloma annulare, leprosy, discoid lupus, sarcoidosis, and lichen planus, to mention only a few. Anetoderma has also been described in premature infants and, in some cases, it


may have been related to the use of cutaneous monitoring leads or adhesives. Both types may be associated with an underlying disease, mainly anti-phospholipid syndrome and human immunodeficiency virus. Although most cases are sporadic, rare cases of familial anetoderma have been recently described and are usually not associated with preexisting lesions.6

 

Pathology

 

In routinely stained sections, the collagen fibers within the dermis of affected skin appear normal. Perivascular lymphocytes are often present in all types of anetoderma and do not correlate with clinical inflammatory findings.7

The predominant defect as revealed by elastic tissue stains is a focal partial or complete loss of elastic tissue in the papillary and/or mid-reticular dermis. There are usually some residual abnormal, irregular, and fragmented elastic fibers  Presumably, the weakening of the elastic network leads to flaccidity and herniation. Direct immunofluorescence sometimes shows linear or granular deposits of immunoglobulins and complement along the dermal-epidermal junction or around the dermal blood vessels in affected skin Electron microscopy demonstrates that the elastic fibers are fragmented and irregular in appearance and occasionally can be engulfed by macrophages.

 

Differential Diagnosis

 

Anetoderma must be differentiated from other disorders of elastic tissue as well as atrophies of the connective tissue.

Keloids form nodules that are much firmer on palpation. A history of trauma is often elicited, and the pathology is very distinct.

Glucocorticoid-induced atrophy occurs most commonly over the triceps or buttocks at sites where injections are usually given. Clinically, the lesions resemble atrophoderma. History is obviously most helpful in making the diagnosis. Polarization may show the steroid crystals in the dermis.

Nevus lipomatosus superficialis of Hoffman and Zurhelle presents as a clustered group of soft, skin-colored to yellow nodules usually on the lower trunk and buttocks and present since birth. Histology shows ectopic mature lipocytes located in the dermis.

Papular elastorrhexis is an acquired disorder characterized by white, firm non-follicular papules measuring 1 to 3 mm, evenly scattered on the chest, abdomen, and back. It usually appears in adolescence or early adulthood. The pathology demonstrates focal degeneration of elastic fibers and normal collagen. There are no associated extra-cutaneous abnormalities. This is believed by some authors to be a variant of connective tissue nevi10 or an abortive form of the Buschke-Ollendorff syndrome,11 whereas others think that these represent papular acne scars.12 They are differentiated from anetoderma by being firm non-compressible lesions.

Box 65-1 Differential Diagnosis of Primary Anetoderma

ELEVATED

DEPRESSED

Secondary anetoderma

Secondary anetoderma

Acne scars

Glucocorticoid-induced atrophy

Keloids

 

Nevus lipomatosus superficialis

Acne scars

Papular elastorrhexis

 

 

Connective tissue nevi

 

 

Mid-dermal elastolysis (MDE) usually consists of larger areas with diffuse wrinkling without herniation and with elastolysis limited to the mid-dermis.

 

Treatment

 

There is no regularly effective treatment. In secondary anetoderma, appropriate treatment of the inflammatory underlying condition might prevent new lesions. In patients with limited lesions that are cosmetically objectionable, surgical excision may be useful. Various therapeutic modalities have been tried but with no improvement of existing atrophic lesions, including intralesional injections of triamcinolone and systemic administration of aspirin, dapsone, phenytoin, penicillin G (benzylpenicillin), and vitamin E. Some authors have reported improvement with hydroxychloroquine

error: Content is protected !!