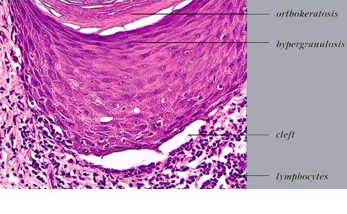
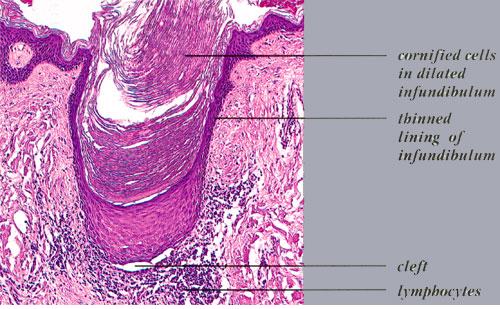
Alopecia of Lichen Planus =الحاصة بسبب الحزاز المنبسط

error: Content is protected !!