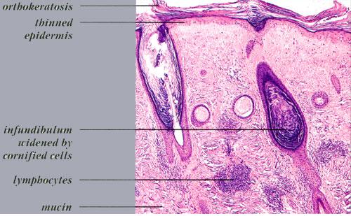
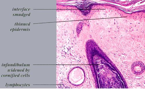
Alopecia of Discoid Lupus Erythematosus = الحاصة بسبب الذئبة الحمامية القرصية

error: Content is protected !!