Solar Lentigo Actinic Lentigo Solar lentigines commonly occur as multiple lesions in areas exposed to the sun, such as the face and extensor surfaces of the forearms, but most commonly on the dorsa of the hands. The lesions increase in number with age, in contrast to nevi, which decline in number . Therefore, they are often referred to as senile lentigines . However, sun exposure, rather than age, is the eliciting factor . Thus, the lesions do not occur on sun-protected skin, even in the elderly. Solar lentigines are commonly seen in sun-exposed Caucasoids. They are not indurated, possess a uniform dark brown color, and have an irregular outline. They vary in diameter from minute to more than 1 em and may coalesce. Solar lentigines, like ephelides, are risk markers for the development of melanoma and are commonly numerous in the skin around melanomas, as seen in melanoma reexcision specimens. Lesions termed “sunburn freckles” by some clinicians may overlap clinically and histologically with actinic lentigines. They are blotchy macular areas of tan hyperpigmentation, often of the order of 1 em in diameter, that often appear on the shoulders or other sun-exposed areas of a young person after a severe sunburn . Other potentially related lesions are intensely dark, perfectly macular reticulated lesions that have been called reticulated lentigo or ink spot lentigo . |
Solar lentigines differ from ephelides in that they are more prevalent, increase in prevalence and number with age (ephelides tend to decline in number), are most prevalent on |
the trunk, and occur more frequently in males than in females, unlike ephelides, which are more evenly distributed and are not related to sun exposure . |
Solar lentigines and relatively flat seborrheic keratoses may resemble each other in clinical appearance, and both are commonly referred to as “liver spots” or “age spots.” Seborrheic keratoses in general show more hyperkeratosis clinically. In contrast, lentigo maligna differs from solar lentigo in clinical appearance by its irregular distribution of pigment, often in a finely reticulated pattern, and by its greater asymmetry and border irregularity. |
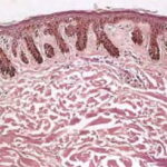
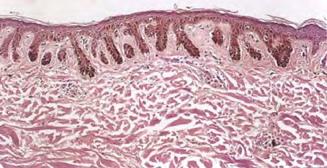
A recent microarray analysis of solar lentigines demonstrated upregulation of genes related to inflammation, fatty acid metabolism, and melanocytes and downregulation of cornified envelope-related genes; the authors suggested that solar lentigo may be induced by the mutagenic effect of repeated UV light exposures, leading to enhancement of melanin production along with decreased proliferation and differentiation of lesional keratinocytes on a background of chronic inflammation . It has been postulated that abnormal pigment retention in keratinocytes may be the primary disorder in solar lentigines . Prolonged treatment with psoralen and ultraviolet light A (PUVA) can induce formation of pigmented macules (“PUVA lentigines”) in the irradiated areas. These are similar to solar lentigines, but their color is darker and their pigment is more irregularly distributed . Histopathology. The rete ridges are subtly or more significantly elongated. They either appear club shaped or are tortuous and show small, budlike extensions. The elongated rete ridges are composed, especially in their lower portion, of deeply pigmented basaloid cells intermingled with melanocytes, which are arranged mostly as single cells. Epidermal maturation may appear subtly perturbed in some lesions. The melanocytes appear significantly increased in number in some cases but only slightly or not at all increased in others . They possess a heightened capacity for melanin production, as shown by the fact that, on staining with DOPA, they display more numerous as well as longer and thicker dendritic processes than the melanocytes of control skin . The upper dermis shows elastosis and often contains scattered melanophages and occasionally a mild, perivascular lymphoid infiltrate. |
Solar lentigines differ histologically from ephelides by definition, in having an increased number of epidermal melanocytes. However, in some lesions, the proliferation may be demonstrable only by formal counting . In contrast to lentigo simplex, lentiginous nevi, and lentiginous melanomas, the melanocytic proliferation is not contiguous and is nonnested. |
In some lesions, the rete ridges are elongated to such an extent that strands of basaloid cells form anastomosing branches, resulting in a reticulated pattern closely resembling that seen in the reticulated pigmented type of seborrheic keratosis. However, unlike seborrheic keratoses, solar lentigines do not form hom cysts . |
PUVA-induced pigmented macules represent actinic lentigines on the basis of irregular elongation of their rete ridges. They show an increased number of large melanocytes that may appear slightly atypical . Large-cell acanthoma, which presents as a slightly scaly, tan macule on photodamaged skin, is identified histologically by having epidermal keratinocytes with nuclei roughly twice the size of adjacent keratinocytes but with minimal nuclear pleomorphism. There are clinical, histologic, and immunohistochemical overlapping characteristics with solar lentigo, suggesting that large-cell acanthoma should be considered as a related condition . |
In the reticulated or “ink spot” lentigo, histologic evaluation, including electron microscopy and DOPA-incubated vertical sections, demonstrated lentiginous hyperplasia of the epidermis, marked hyperpigmentation of the basal layer with “skip” areas that involved the rete ridges, and a minimal increase in the number of melanocytes . |
Histogenesis. By electron microscopy, the basal layer of keratinocytes contains increased melanosomes and melanosome complexes, and the melanosome complexes within keratinocytes appear larger than those found in uninvolved skin. Even in the upper layers of the epidermis, including the horny layer, numerous melanosomes are present, largely in a dispersed state rather than as complexes |
Differential Diagnosis. In lentigo simplex , the rete ridges are elongated, but, in contrast, the lesional melanocytes are more obviously increased in number and focally lie in contiguity with one another around the tips and sides of the rete but not between the rete. Lentigo maligna shows flattening or absence of the rete ridges together with contiguous and continuous proliferation and uniform atypia of its melanocytes; like lentigo simplex, however, it may be associated with a dermal lymphocytic infiltrate. In actinic lentigo, the rete are elongated and the lesional melanocytes do not lie in contiguity with one another, even though they may be increased in number. There is minimal cytologic atypia and no pagetoid spread of melanocytes above the basal layer. In contrast to a pigmented actinic keratosis, there is no keratinocytic atypia and usually no parakeratosis