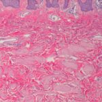
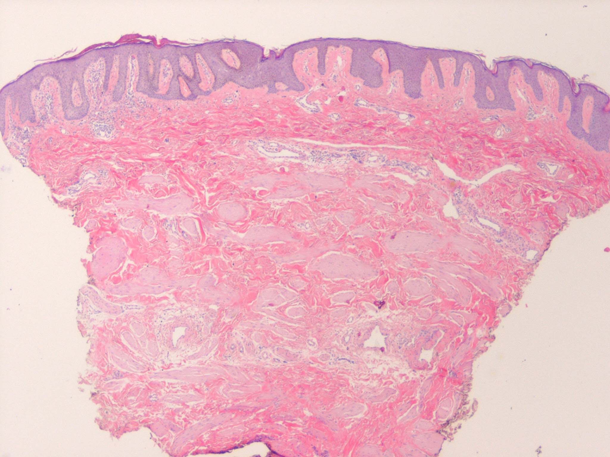
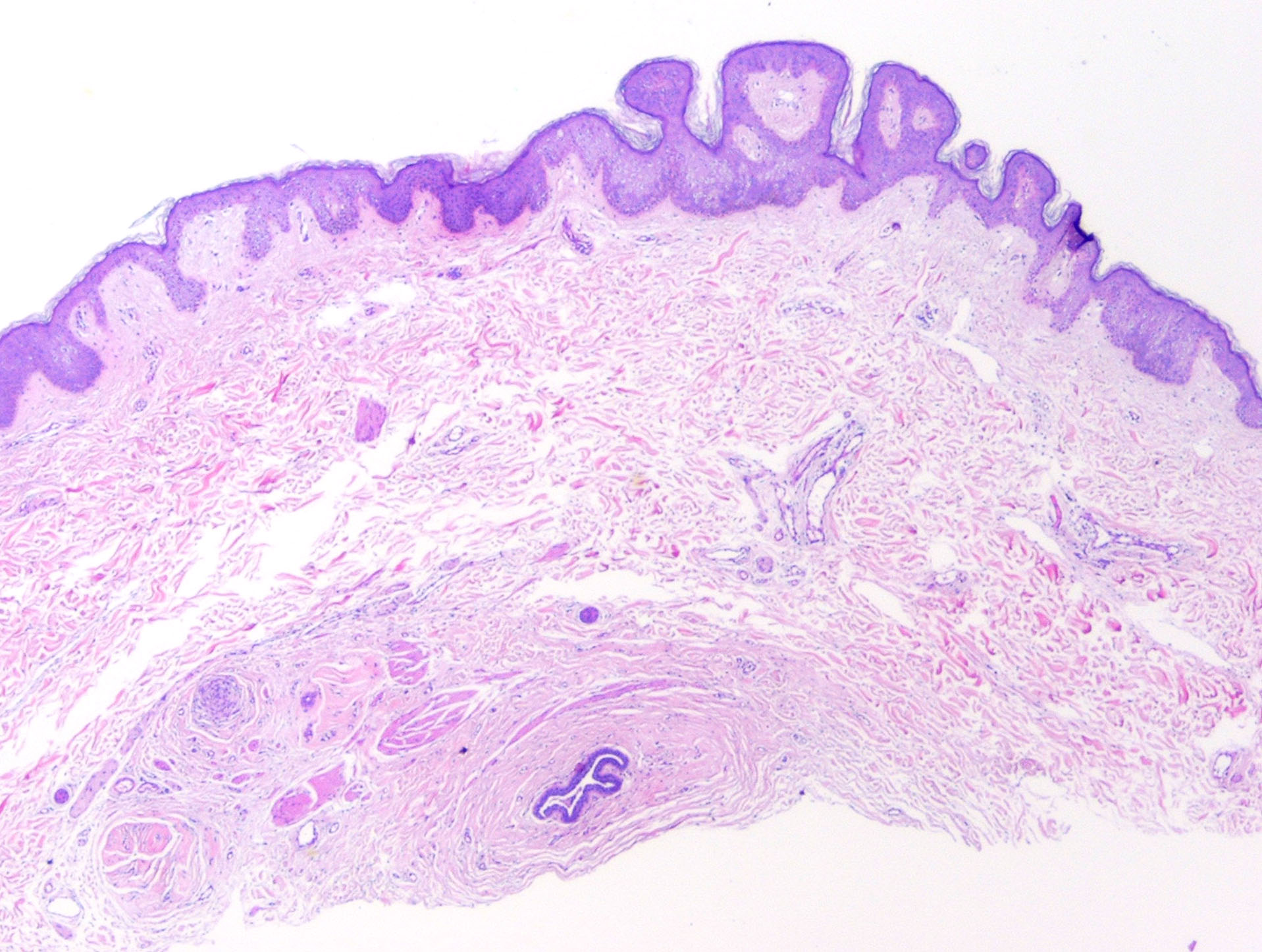
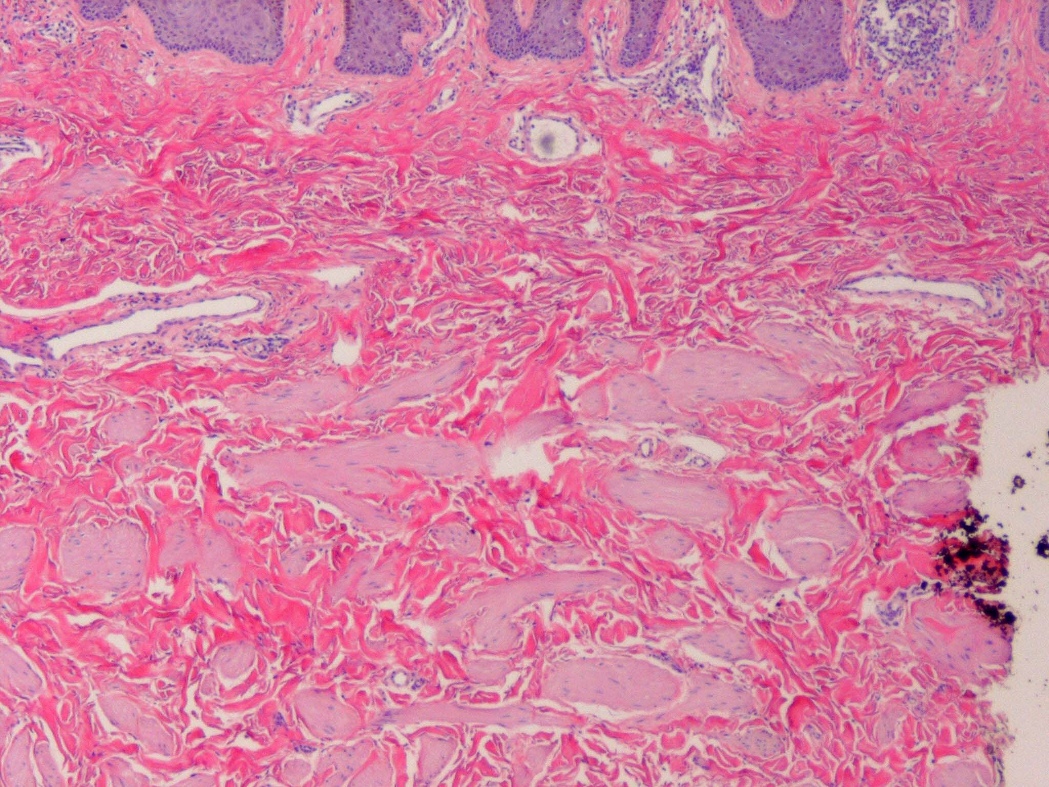
Accessory Nipple
The histologic features of a supernumerary nipple are identical to that of the regular nipple, including hyperpigmentation, slight hyperkeratosis with epidermal thickening, pilosebaceous structure of Montgomery areolar tubercles, smooth muscle bundles typical of the areola, and possible mammary glands and intradermal straight ducts.37 A significant increase in the number of clear cells of Toker has been found in supernumerary nipple tissue, indicating supernumerary nipple may be a precursor of extramammary Paget disease